まずは歯や歯茎の健康をチェックすることが大切です。
その上で正しい歯並びを獲得することが必要です。
自分の歯できれいな歯並びにすることが歯列矯正の利点です。
矯正治療に年齢制限はありません。


まずは歯や歯茎の健康をチェックすることが大切です。
その上で正しい歯並びを獲得することが必要です。
自分の歯できれいな歯並びにすることが歯列矯正の利点です。
矯正治療に年齢制限はありません。

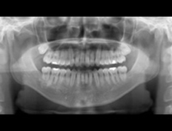
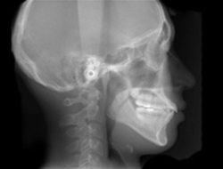
矯正治療では正確な診断と適切な治療計画を立てることが最も重要です。そのためには歯の模型、レントゲン写真、歯や顔そして姿勢の写真などの基本検査が必要となります。

●MRI検査(顎関節症の診断 保険適応)
顎関節は噛み合わせの主要部分なので顎から音がする、ひっかかる、痛い、開けづらいなどの顎関節症状があった場合、顎関節の追加検査をすることがあります。
●歯科用CT(埋伏歯の牽引や顎変形症の診断 保険外)
歯が骨の中に埋もれていたり、補綴(ブリッジやインプラント)治療と併用した治療になる場合、追加検査をすることがあります。
●予測模型の製作(治療後の予測が必要な場合 追加料金)

検査模型

初診時

予測模型

矯正治療だけではリカバリーできない他の治療が必要な場合は、他科の専門医と協力してアプローチすることが多々あります。いわゆるチームアプローチです。

噛み合せを構成している要素は大きく分けると顎関節、歯並び、歯、歯肉の4つです。その中で私たちが携わるのは歯並びの部分です。質の高い治療を求めた場合その他に関しては、それぞれの専門医に委ねることがあります。ちなみに顎関節に関しては顎関節専門医でもある院長が矯正と同時に顎関節に問題があった場合は併行して治療します。しかし虫歯、喪失や欠如歯、歯の形、色、入れ歯、ブリッジ、歯肉の問題、歯周病、、、、等に治療が必要な場合は、かかりつけ医との連携や、必要に応じて最高レベルの専門医をご紹介し連携して治療を進めます。
特に最近は中高年からご年配の矯正治療患者が増えており、包括的な診断力とチームアプローチの体制がとれていることが重要になってきています。
今や矯正治療は老若男女を問いません。当院はそのための準備ができています。


育児休暇中に矯正治療を始める方が増えています。
当院では赤ちゃんや、小さなお子様連れでもご来院いただけます。
お子様が遊ぶスペースは十分あります。
寝ている場合にはベビーカー(乳母車)の入室も可能です。
またお子様には付きっきりでスタッフ(保育士等)が対応(遊ぶ、抱っこ)させていただきます。

矯正治療に『もう遅い』はありません。
お子様の小児矯正を始めるタイミングで、お母様もご一緒に矯正治療する方が増えています。
昔から歯並びや口元にコンプレックスをお持ちであれば、お子様の通院と併せて矯正治療することをお薦めします。

![]()

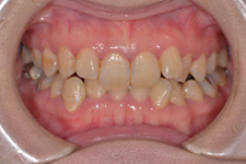
上下前歯のガタガタの症例です。ガタガタしている所は歯ブラシがとどかないので、茶色く着色しています。重なっている所は虫歯になっていることが、ほとんどです。
![]()
![]()

ガタガタの量が多く、物理的に顎の骨に入りきらないため、上下左右の前から4番目の歯(第一小臼歯)を抜いて、治療しました。抜かずに治療した場合、歯列の円周が広がり口元が突出してしまうため、抜歯をご選択されました。矯正後は歯磨きもし易く、歯の色も一緒にきれいになっています。
リスク
1.歯根吸収:ありませんでした
2.虫歯:治療中はできませんでした
3.後戻り:保定装置の協力とフォローをしっかり行います。
![]()

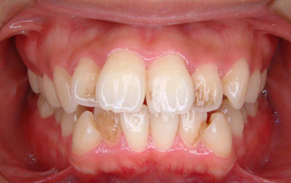
前歯のガタガタと口元の突出感を改善したいと言われました。
![]()
![]()

口元の突出感の改善には抜歯が必要となり、上下左右の計4本を抜歯しています。治療後は抜歯した隙間を使って配列して、閉じることで口元を入れました。
![]()

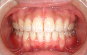
前歯のガタガタと口元の突出感を改善したいと言われました。
![]()
![]()

口元の突出感の改善には抜歯が必要となり、上下左右の計4本を抜歯しています。治療後は抜歯した隙間を使って配列して、閉じることで口元を入れました。
![]()

前歯のガタガタと口元の突出感を改善したいと言われました。
![]()
![]()

口元の突出感の改善には抜歯が必要となり、上下左右の計4本を抜歯しています。治療後は抜歯した隙間を使って配列して、閉じることで口元を入れました。
![]()

前歯のガタガタと口元の突出感を改善したいと言われました。
![]()
![]()

口元の突出感の改善には抜歯が必要となり、上下左右の計4本を抜歯しています。治療後は抜歯した隙間を使って配列して、閉じることで口元を入れました。
リスク
1.歯根吸収:ありませんでした
2.虫歯:右下の親知らずによる影響で右下第2大臼歯の虫歯を確認。その後処置を行いました。
3.前歯の叢生改善に伴う歯間鼓形空隙(歯肉の退縮)が起こりうる。若干の退縮はあったものの、肉眼的に確認できる大きさではなくその後徐々に回復。
4.後戻り:後戻り:保定装置の協力とフォローをしっかり行います。

反対咬合が骨格的に重度な場合や、顎が左右非対称、曲がっているなどの顎変形症などの矯正治療において、手術を併用し骨格的および歯列の改善を行う場合は、保険が適応となります。ただし、保険が適応となるのは国からの指定を受けている医療機関に限ります。
当院はその指定自立支援医療機関 顎口腔機能診断施設に指定されている医療機関なので、健康保険が適用可能です。また外科矯正の大事なポイントは、外科医との連携です。これまでに築いたネットワークから、自信を持ってご紹介できる医療機関あるいは外科医をご紹介いたします。
東京都福祉保健局
自立支援の指定を受けている医療機関の名簿が記載されている東京都のサイトです。

1.最初は矯正装置による不快感、痛み等があります。数日間~1、2 週間で慣れることが多いです。
2.歯の動き方には個人差があります。そのため、予想された治療期間が延長する可能性があります。
3.装置の使用状況、顎間ゴムの使用状況、定期的な通院等、矯正治療には患者さんの協力が非常に重要であり、それらが治療結果や治療期間に影響します。
4.治療中は、装置が付いているため歯が磨きにくくなります。むし歯や歯周病のリスクが高まりますので、丁寧に磨いたり、定期的なメンテナンスを受けたりすることが重要です。 また、歯が動くと隠れていたむし歯が見えるようになることもあります。
5.歯を動かすことにより歯根が吸収して短くなることがあります。また、歯ぐきがやせて下がることがあります。
6.ごくまれに歯が骨と癒着していて歯が動かないことがあります。
7.ごくまれに歯を動かすことで神経が障害を受けて壊死することがあります。
8.治療途中に金属等のアレルギー症状が出ることがあります。
9.治療中に「顎関節で音が鳴る、あごが痛い、口が開けにくい」などの顎関節症状が出ることがあります。
10.様々な問題により、当初予定した治療計画を変更する可能性があります。
11.歯の形を修正したり、咬み合わせの微調整を行ったりする可能性があります。
12.矯正装置を誤飲する可能性があります。
13.装置を外す時に、エナメル質に微小な亀裂が入る可能性や、かぶせ物(補綴物)の一部が破損する可能性があります。
14.装置が外れた後、保定装置を指示通り使用しないと後戻りが生じる可能性が高くなります。
15.装置が外れた後、現在の咬み合わせに合った状態のかぶせ物(補綴物)やむし歯の治療(修復物)などをやりなおす可能性があります。
16.あごの成長発育によりかみ合わせや歯並びが変化する可能性があります。
17.治療後に親知らずが生えて、凸凹が生じる可能性があります。加齢や歯周病等により歯を支えている骨がやせるとかみ合わせや歯並びが変化することがあります。 その場合、再治療等が必要になることがあります。
18.矯正歯科治療は、一度始めると元の状態に戻すことは難しくなります。

小児矯正(1期治療)の目的は将来歯を抜かずに2期治療をできる環境をつくっておくこと、そして1期治療で終了することが目標です。
それには適正な開始時期を見極めることが重要になってきます。
いたずらに早い時期に始めるのはとても危険です。
子供のストレスを一番に考え最適な治療時期を判断できるのは矯正専門医です。
無計画に単発的な装置を入れるのもまた危険です。行き当たりばったりの治療では治りません。
矯正治療は適正な時期に適正な検査をして、適正な診断を元に治療計画を立てることがとても大切です。
矯正治療では正確な診断と適切な治療計画を立てることが最も重要です。そのためには歯の模型、レントゲン写真、歯や顔そして姿勢の写真などの基本検査が必要となります。

●MRI検査(顎関節症の診断 保険適応)
顎関節は噛み合わせの主要部分なので顎から音がする、ひっかかる、痛い、開けづらいなどの顎関節症状があった場合、顎関節の追加検査をすることがあります。

●歯科用CT(埋伏歯の牽引や顎変形症の診断 保険外)
歯が骨の中に埋もれていたり、補綴(ブリッジやインプラント)治療と併用した治療になる場合、追加検査をすることがあります。
●予測模型の製作(治療後の予測が必要な場合 追加料金)
検査模型
初診時
予測模型
矯正治療だけではリカバリーできない他の治療が必要な場合は、他科の専門医と協力してアプローチすることが多々あります。いわゆるチームアプローチです。

噛み合せを構成している要素は大きく分けると顎関節、歯並び、歯、歯肉の4つです。その中で私たちが携わるのは歯並びの部分です。質の高い治療を求めた場合その他に関しては、それぞれの専門医に委ねることがあります。ちなみに顎関節に関しては顎関節専門医でもある院長が矯正と同時に顎関節に問題があった場合は併行して治療します。しかし虫歯、喪失や欠如歯、歯の形、色、入れ歯、ブリッジ、歯肉の問題、歯周病、、、、等に治療が必要な場合は、かかりつけ医との連携や、必要に応じて最高レベルの専門医をご紹介し連携して治療を進めます。
特に最近は中高年からご年配の矯正治療患者が増えており、包括的な診断力とチームアプローチの体制がとれていることが重要になってきています。
今や矯正治療は老若男女を問いません。当院はそのための準備ができています。
治療中はスタッフがお子様と遊んでいます
育児休暇中に矯正治療を始める方が増えています。
当院では赤ちゃんや、小さなお子様連れでもご来院いただけます。
お子様が遊ぶスペースは十分あります。
寝ている場合にはベビーカー(乳母車)の入室も可能です。
またお子様には付きっきりでスタッフ(保育士等)が対応(遊ぶ、抱っこ)させていただきます。
ママのお近くに居たい時は、一緒に診療室にも入れます。ベビーカーでもOK!
矯正治療に『もう遅い』はありません。
お子様の小児矯正を始めるタイミングで、お母様もご一緒に矯正治療する方が増えています。
昔から歯並びや口元にコンプレックスをお持ちであれば、お子様の通院と併せて矯正治療することをお薦めします。

上下前歯のガタガタの症例です。ガタガタしている所は歯ブラシがとどかないので、茶色く着色しています。重なっている所は虫歯になっていることが、ほとんどです。

ガタガタの量が多く、物理的に顎の骨に入りきらないため、上下左右の前から4番目の歯(第一小臼歯)を抜いて、治療しました。抜かずに治療した場合、歯列の円周が広がり口元が突出してしまうため、抜歯をご選択されました。矯正後は歯磨きもし易く、歯の色も一緒にきれいになっています。
リスク
1.歯根吸収:ありませんでした
2.虫歯:治療中はできませんでした
3.後戻り:保定装置の協力とフォローをしっかり行います。

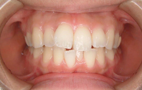
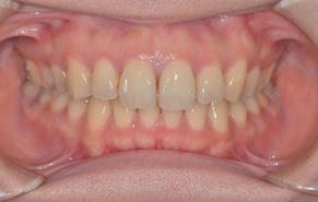
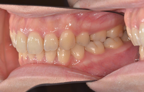
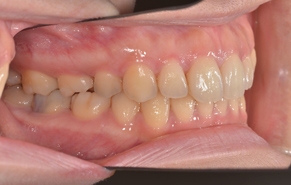
前歯のガタガタと口元の突出感を改善したいと言われました。

口元の突出感の改善には抜歯が必要となり、上下左右の計4本を抜歯しています。治療後は抜歯した隙間を使って配列して、閉じることで口元を入れました。

前歯のガタガタと口元の突出感を改善したいと言われました。

口元の突出感の改善には抜歯が必要となり、上下左右の計4本を抜歯しています。治療後は抜歯した隙間を使って配列して、閉じることで口元を入れました。

前歯のガタガタと口元の突出感を改善したいと言われました。

口元の突出感の改善には抜歯が必要となり、上下左右の計4本を抜歯しています。治療後は抜歯した隙間を使って配列して、閉じることで口元を入れました。

前歯のガタガタと口元の突出感を改善したいと言われました。

口元の突出感の改善には抜歯が必要となり、上下左右の計4本を抜歯しています。治療後は抜歯した隙間を使って配列して、閉じることで口元を入れました。
リスク
1.歯根吸収:ありませんでした
2.虫歯:右下の親知らずによる影響で右下第2大臼歯の虫歯を確認。その後処置を行いました。
3.前歯の叢生改善に伴う歯間鼓形空隙(歯肉の退縮)が起こりうる。若干の退縮はあったものの、肉眼的に確認できる大きさではなくその後徐々に回復。
4.後戻り:後戻り:保定装置の協力とフォローをしっかり行います。
反対咬合が骨格的に重度な場合や、顎が左右非対称、曲がっているなどの顎変形症などの矯正治療において、手術を併用し骨格的および歯列の改善を行う場合は、保険が適応となります。ただし、保険が適応となるのは国からの指定を受けている医療機関に限ります。
当院はその指定自立支援医療機関 顎口腔機能診断施設に指定されている医療機関なので、健康保険が適用可能です。また外科矯正の大事なポイントは、外科医との連携です。これまでに築いたネットワークから、自信を持ってご紹介できる医療機関あるいは外科医をご紹介いたします。
東京都福祉保健局
自立支援の指定を受けている医療機関の名簿が記載されている東京都のサイトです。
1.最初は矯正装置による不快感、痛み等があります。数日間~1、2 週間で慣れることが多いです。
2.歯の動き方には個人差があります。そのため、予想された治療期間が延長する可能性があります。
3.装置の使用状況、顎間ゴムの使用状況、定期的な通院等、矯正治療には患者さんの協力が非常に重要であり、それらが治療結果や治療期間に影響します。
4.治療中は、装置が付いているため歯が磨きにくくなります。むし歯や歯周病のリスクが高まりますので、丁寧に磨いたり、定期的なメンテナンスを受けたりすることが重要です。 また、歯が動くと隠れていたむし歯が見えるようになることもあります。
5.歯を動かすことにより歯根が吸収して短くなることがあります。また、歯ぐきがやせて下がることがあります。
6.ごくまれに歯が骨と癒着していて歯が動かないことがあります。
7.ごくまれに歯を動かすことで神経が障害を受けて壊死することがあります。
8.治療途中に金属等のアレルギー症状が出ることがあります。
9.治療中に「顎関節で音が鳴る、あごが痛い、口が開けにくい」などの顎関節症状が出ることがあります。
10.様々な問題により、当初予定した治療計画を変更する可能性があります。
11.歯の形を修正したり、咬み合わせの微調整を行ったりする可能性があります。
12.矯正装置を誤飲する可能性があります。
13.装置を外す時に、エナメル質に微小な亀裂が入る可能性や、かぶせ物(補綴物)の一部が破損する可能性があります。
14.装置が外れた後、保定装置を指示通り使用しないと後戻りが生じる可能性が高くなります。
15.装置が外れた後、現在の咬み合わせに合った状態のかぶせ物(補綴物)やむし歯の治療(修復物)などをやりなおす可能性があります。
16.あごの成長発育によりかみ合わせや歯並びが変化する可能性があります。
17.治療後に親知らずが生えて、凸凹が生じる可能性があります。加齢や歯周病等により歯を支えている骨がやせるとかみ合わせや歯並びが変化することがあります。 その場合、再治療等が必要になることがあります。
18.矯正歯科治療は、一度始めると元の状態に戻すことは難しくなります。