田園調布ヴェルデ矯正歯科ではクリーニングを3つのコースに分けて行っています。
定期的なクリーニングは、むし歯、歯周病、口臭の予防になるのでお薦めです。
オーラル・エステで自然な白さと健康な歯を手に入れましょう。
- こんな症状の方にお薦めです
- 歯の着色(ヤニ、茶渋など)が気になる
- 歯石が付きやすい
- 口臭が気になる
- むし歯と歯周病を予防したい
- 歯の色が気になる


田園調布ヴェルデ矯正歯科ではクリーニングを3つのコースに分けて行っています。
定期的なクリーニングは、むし歯、歯周病、口臭の予防になるのでお薦めです。
オーラル・エステで自然な白さと健康な歯を手に入れましょう。

| Polishing |
クリーニングによる着色と歯垢除去
研磨による艶だし スケーリングによる歯石除去 |
¥5,250 |
|---|---|---|
| PMTC (プロフェッショナル ティースクリーニングコース) |
クリーニングによる着色と歯垢除去
研磨による艶だし スケーリングによる歯石除去 歯肉専用クリームによる歯肉マッサージ フッ素塗布による歯質強化 |
¥6,300 矯正患者に限り |
| Whitening (ホワイトニングコース) |
クリーニングによる着色や歯垢除去
研磨による艶だし スケーリングによる歯石除去 歯肉専用クリームによる歯肉マッサージ ホームブリーチングによるホワイトニング オフィスブリーチングによるホワイトニング (オフィスブリーチングの所要時間:1時間30分) |
¥26,250 |
| デュアルホワイトニング |
ホワイトニング効果の最も高いと言われている、オフィスおよびホームブリーチングの両方によるホワイトニング
|
¥42,000 |

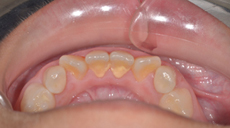
1.歯石除去
当院では
拡大鏡を用いて歯石を細かく除去していきます。
取り残しがあると、そこに歯垢(プラーク)が溜まり、歯石が形成されていってしまいます。肉眼での歯石除去とでは比較になりません。



![]()

![]()
![]()


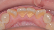
2.クリーニング
歯の表面の着色や汚れは研磨剤を使いますが、細かい傷をつかないよう配慮して研磨します。
クリーニング時も拡大鏡を用いて歯の細部まで磨いていきます。
歯の間やポケット内などは肉眼では全くきれいに磨けません。



3.トリートメント
歯の表面には細かい傷や凹凸があります。その傷と凹凸に歯を形成する成分のハイドロキシアパタイト(ナノ粒子)を擦り込んでいきます。歯の表面の傷と凹凸を無くしツルツル(滑沢)の表面にすることで、着色、汚れ、歯垢(プラーク)の付着を予防します。

4.ガムマッサージ
歯肉(歯茎)のマッサージです。歯肉マッサージ用のクリーム(オレンジ、ハーブ、ヴェレダのアロマ)で歯肉をマッサージしていきます。マッサージすることで血行を促進し、歯肉炎や歯周病の予防をします。健康な色を取り戻しましょう!

5.フッ素塗布
フッ素は歯の質を強くするものです。また再石灰化を促すことで初期の脱灰(虫歯の初発段階)の修復も期待できます。

6.ホームケア
歯磨きペーストと歯ブラシのアドバイスさせて頂きます。

ガムマッサージ以外は大人と同様の手順で行います。
当院のフッ素塗布はフッ素を塗るだけの処置ではありません。大人のクリーニング同様、歯石、歯垢、着色などあれば細部までクリーニングして、最後にフッ素を塗布します。自費(¥3,000)で行っている理由はそこにあります。
子供の歯石もキレイに除去して、その後歯石ができにくい歯にしていきます。
![]()

![]()
![]()

子供のクリーニングの流れ

まずは先生やスタッフそして歯科医院に慣れていただくことからはじまります。恐怖感を与えないよう心掛けています。


最初の何回かは手動の歯ブラシで磨きます。慣れてきてから機械の歯ブラシで歯の表面をきれいに磨きます。


フッ素の味は4~5種類あるので好きな味を選びましょう!


(写真のお子様は2歳です)
トレー式のフッ素塗布なので、歯の裏表、隙間などフッ素が全体に行き渡ります。フッ素の効果を得るためには定期的(年齢により3~6ヶ月に1回)に塗布することをお奨めします。

田園調布ヴェルデ矯正歯科ではクリーニングを3つのコースに分けて行っています。
定期的なクリーニングは、むし歯、歯周病、口臭の予防になるのでお薦めです。
オーラル・エステで自然な白さと健康な歯を手に入れましょう。
| Polishing |
クリーニングによる着色と歯垢除去
研磨による艶だし スケーリングによる歯石除去 |
¥5,250 |
|---|---|---|
| PMTC (プロフェッショナル ティースクリーニングコース) |
クリーニングによる着色と歯垢除去
研磨による艶だし スケーリングによる歯石除去 歯肉専用クリームによる歯肉マッサージ フッ素塗布による歯質強化 |
¥6,300 |
| Whitening (ホワイトニングコース) |
クリーニングによる着色や歯垢除去
研磨による艶だし スケーリングによる歯石除去 歯肉専用クリームによる歯肉マッサージ ホームブリーチングによるホワイトニング オフィスブリーチングによるホワイトニング (オフィスブリーチングの所要時間:1時間30分) |
¥26,250 |
| デュアルホワイトニング |
ホワイトニング効果の最も高いと言われている、オフィスおよびホームブリーチングの両方によるホワイトニング
|
¥42,000 |
1.歯石除去
当院では
拡大鏡を用いて歯石を細かく除去していきます。
取り残しがあると、そこに歯垢(プラーク)が溜まり、歯石が形成されていってしまいます。肉眼での歯石除去とでは比較になりません。

肉眼

拡大鏡でみた場合

拡大鏡



2.クリーニング
歯の表面の着色や汚れは研磨剤を使いますが、細かい傷をつかないよう配慮して研磨します。
クリーニング時も拡大鏡を用いて歯の細部まで磨いていきます。
歯の間やポケット内などは肉眼では全くきれいに磨けません。



3.トリートメント
歯の表面には細かい傷や凹凸があります。その傷と凹凸に歯を形成する成分のハイドロキシアパタイト(ナノ粒子)を擦り込んでいきます。歯の表面の傷と凹凸を無くしツルツル(滑沢)の表面にすることで、着色、汚れ、歯垢(プラーク)の付着を予防します。


4.ガムマッサージ
歯肉(歯茎)のマッサージです。歯肉マッサージ用のクリーム(オレンジ、ハーブ、ヴェレダのアロマ)で歯肉をマッサージしていきます。マッサージすることで血行を促進し、歯肉炎や歯周病の予防をします。健康な色を取り戻しましょう!

5.フッ素塗布
フッ素は歯の質を強くするものです。また再石灰化を促すことで初期の脱灰(虫歯の初発段階)の修復も期待できます。

6.ホームケア
歯磨きペーストと歯ブラシのアドバイスさせて頂きます。
ガムマッサージ以外は大人と同様の手順で行います。
当院のフッ素塗布はフッ素を塗るだけの処置ではありません。大人のクリーニング同様、歯石、歯垢、着色などあれば細部までクリーニングして、最後にフッ素を塗布します。自費(¥3,000)で行っている理由はそこにあります。
子供の歯石もキレイに除去して、その後歯石ができにくい歯にしていきます。


まずは先生やスタッフそして歯科医院に慣れていただくことからはじまります。恐怖感を与えないよう心掛けています。

最初の何回かは手動の歯ブラシで磨きます。慣れてきてから機械の歯ブラシで歯の表面をきれいに磨きます。

フッ素の味は4~5種類あるので好きな味を選びましょう!


(写真のお子様は2歳です)
トレー式のフッ素塗布なので、歯の裏表、隙間などフッ素が全体に行き渡ります。フッ素の効果を得るためには定期的(年齢により3~6ヶ月に1回)に塗布することをお奨めします。