成長期の反対咬合(受け口)を治す装置です。主に幼児期(3~6歳)に使用します。そのため、ご本人の性格や、睡眠時のストレスなどの問題を十分にご相談した上で使用します。小児矯正は子供にとって、どのタイミングでどのような治療をしていくのかを、矯正専門医とよく相談することをお薦めします。
歯列矯正用咬合誘導装置(ムーシールド) ¥33,000
子供の反対咬合(マウスピースの治療)

歯列矯正用咬合誘導装置(ムーシールド)は幼児期の早い段階で、反対咬合(受け口)を治す治療法です。装置はマウスピースみたいな透明の装置を、寝る時に装着します。月に1度のペースで装置を、調整していきます。

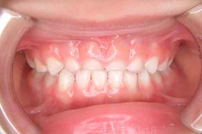
正面から観たところです。

全て乳歯です。反対咬合です。まだ幼児なので、お子様にかかる負担などをよく考えた上で、治療します。

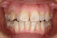
反対咬合です。

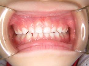
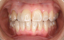
2か月後です。反対咬合は治っています。現在は正常な噛み合せになりました。

これからまだ永久歯に生え替わるので、注意深く定期的に観察していきます。生え替わった後に、また反対咬合になりこともあります。


































